無料初診予約

DDデンタルクリニックグループ
治療症例集

カテゴリで絞る

症例一覧

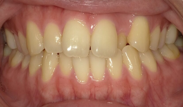
18歳女性 スペースの不足で八重歯とガタつきが生じた歯並び(叢生)をブラーバ矯正で治療した症例【裏側矯正】

ガタガタ・八重歯 裏側矯正(ブラーバ矯正)
18歳女性 スペースの不足で八重歯とガタつきが生じた歯並び(叢生)をブラーバ矯正で治療した症例【裏側矯正】

32歳女性 大きく重なった前歯の歯並び(叢生)をブラーバ矯正で治療した症例【裏側矯正】

ガタガタ・八重歯 裏側矯正(ブラーバ矯正)
32歳女性 大きく重なった前歯の歯並び(叢生)をブラーバ矯正で治療した症例【裏側矯正】

28歳女性 上下のガタついた歯並び(叢生)をブラーバ矯正で治療した症例【裏側矯正】

ガタガタ・八重歯 裏側矯正(ブラーバ矯正)
28歳女性 上下のガタついた歯並び(叢生)をブラーバ矯正で治療した症例【裏側矯正】

32歳女性 上の前歯のねじれとガタついた歯並び(叢生)をブラーバ矯正で治療した症例【裏側矯正】

ガタガタ・八重歯 裏側矯正(ブラーバ矯正)
32歳女性 上の前歯のねじれとガタついた歯並び(叢生)をブラーバ矯正で治療した症例【裏側矯正】

17歳女性 全体的にガタついた歯並び(叢生)と出っ歯をブラーバ矯正で治療した症例【裏側矯正】

ガタガタ・八重歯 裏側矯正(ブラーバ矯正)
17歳女性 全体的にガタついた歯並び(叢生)と出っ歯をブラーバ矯正で治療した症例【裏側矯正】

21歳女性 矯正後の後戻りによる前歯のガタつき(叢生)を審美ワイヤー矯正で治療した症例【表側矯正】

ガタガタ・八重歯 審美ワイヤー矯正
21歳女性 矯正後の後戻りによる前歯のガタつき(叢生)を審美ワイヤー矯正で治療した症例【表側矯正】

33歳男性 ガタついた前歯の歯並び(叢生・クロスバイト)をキレイライン矯正で治療した症例【マウスピース矯正】

ガタガタ・八重歯 交差咬合 マウスピース矯正(キレイライン矯正)
33歳男性 ガタついた前歯の歯並び(叢生・クロスバイト)をキレイライン矯正で治療した症例【マウスピース矯正】

28歳女性 ガタついた前歯の歯並び(叢生)をキレイライン矯正で治療した症例【マウスピース矯正】

ガタガタ・八重歯 マウスピース矯正(キレイライン矯正)
28歳女性 ガタついた前歯の歯並び(叢生)をキレイライン矯正で治療した症例【マウスピース矯正】

46歳女性 クロスバイト(交叉咬合)とガタガタな歯並び(叢生)をインビザラインで治療した症例【マウスピース矯正】

ガタガタ・八重歯 交差咬合 マウスピース矯正(インビザライン)
46歳女性 クロスバイト(交叉咬合)とガタガタな歯並び(叢生)をインビザラインで治療した症例【マウスピース矯正】

29歳女性 上下のガタついた歯並び(叢生)をインビザラインで治療した症例【マウスピース矯正】

ガタガタ・八重歯 マウスピース矯正(インビザライン)
29歳女性 上下のガタついた歯並び(叢生)をインビザラインで治療した症例【マウスピース矯正】

Clinic

ご希望のエリアをご選択ください

※提携しているコレクトデンタルクリニックでも同様の治療が受けられます

埼玉・神奈川・千葉

北海道・宮城・新潟・石川

愛知・静岡

大阪・京都・兵庫

福岡・熊本