無料初診予約

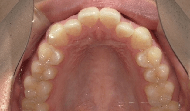
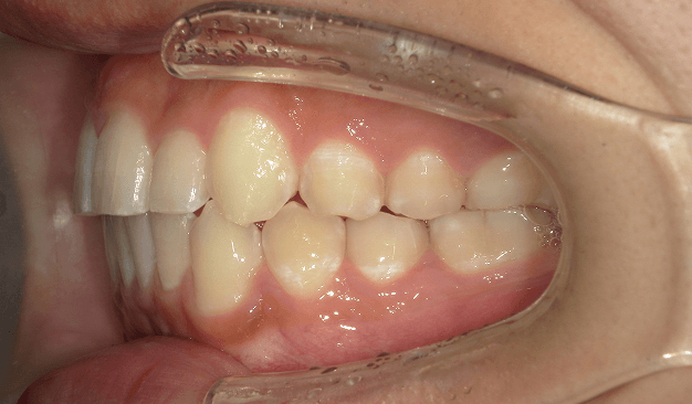
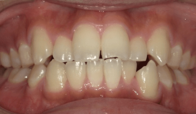
22歳男性 ガタついた歯並び(叢生)をインビザラインで治療した症例【マウスピース矯正】

治療前→治療後

Before
マウスピース矯正(インビザライン)|叢生(ガタガタ)の症例(治療前)
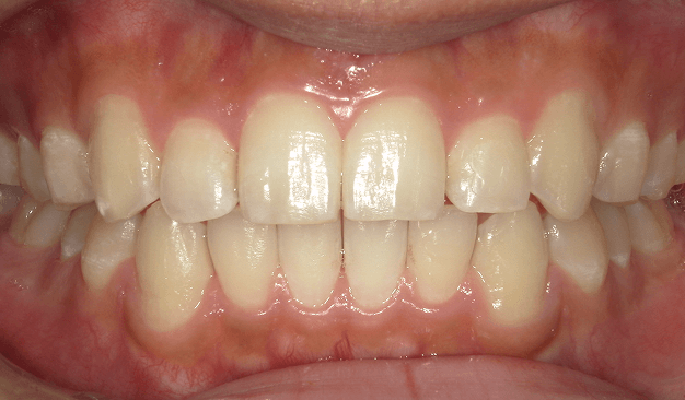
After
マウスピース矯正(インビザライン)|叢生(ガタガタ)の症例(治療後)
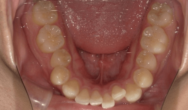
Before
マウスピース矯正(インビザライン)|叢生(ガタガタ)の症例(治療前)
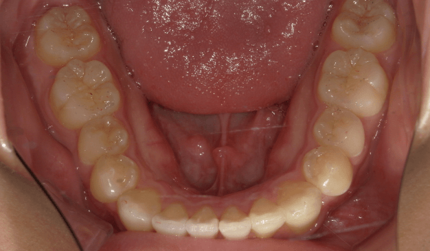
After
マウスピース矯正(インビザライン)|叢生(ガタガタ)の症例(治療後)
Before
マウスピース矯正(インビザライン)|叢生(ガタガタ)の症例(治療前)
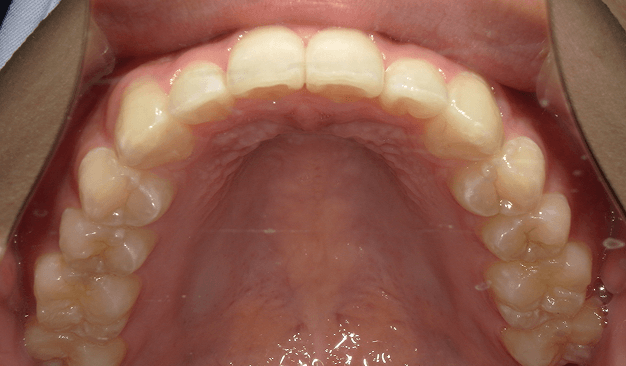
After
マウスピース矯正(インビザライン)|叢生(ガタガタ)の症例(治療後)
Before
マウスピース矯正(インビザライン)|叢生(ガタガタ)の症例(治療前)
After
マウスピース矯正(インビザライン)|叢生(ガタガタ)の症例(治療後)
Before
マウスピース矯正(インビザライン)|叢生(ガタガタ)の症例(治療前)
After
マウスピース矯正(インビザライン)|叢生(ガタガタ)の症例(治療後)
Before
マウスピース矯正(インビザライン)|叢生(ガタガタ)の症例(治療前)
After
マウスピース矯正(インビザライン)|叢生(ガタガタ)の症例(治療後)
Before
マウスピース矯正(インビザライン)|叢生(ガタガタ)の症例(治療前)
After
マウスピース矯正(インビザライン)|叢生(ガタガタ)の症例(治療後)
Before
マウスピース矯正(インビザライン)|叢生(ガタガタ)の症例(治療前)
After
マウスピース矯正(インビザライン)|叢生(ガタガタ)の症例(治療後)

※効果には個人差があります。
※症例全体にかかる注記・主なリスク・症例に関するお問い合わせ先はこちらをご確認ください。
※矯正歯科治療に関するリスク・副作用はこちらをご確認下さい。

症例詳細 【非抜歯・マウスピース矯正(インビザライン)】

年齢

22歳

性別

男性

患者様のご要望

上下のガタガタを治したい

主訴

叢生

抜歯

なし(非抜歯症例)

治療期間

約1年4ヶ月

治療方法・装置

マウスピース矯正装置(インビザライン・コンプリヘンシブパッケージ)

治療費用

737,000円(税込)

再診料

5回 27,500円 (税込)

追加治療

IPR・顎間ゴム・ATT(費用は全て再診料に含まれる)

※効果には個人差があります。
※ATT・ボタン・顎間ゴムは患者様のご要望や症状により歯科医師の判断によりおこなわれる追加治療です。
【主なリスク】虫歯・歯周病・ブラックトライアングル・歯根吸収・歯根退縮・マウスピースにより痛みを感じる可能性・治療中に一時的にかみ合わせに不具合をきたす可能性・動かした歯や歯周組織が安定するまで保定が必要。

※症例に関するお問い合わせ先はこちらをご確認ください。
※矯正歯科治療に関するリスク・副作用はこちらをご確認下さい。

Clinic

ご希望のエリアをご選択ください

※提携しているコレクトデンタルクリニックでも同様の治療が受けられます

埼玉・神奈川・千葉

北海道・宮城・新潟・石川

愛知・静岡

大阪・京都・兵庫

福岡・熊本