無料初診予約

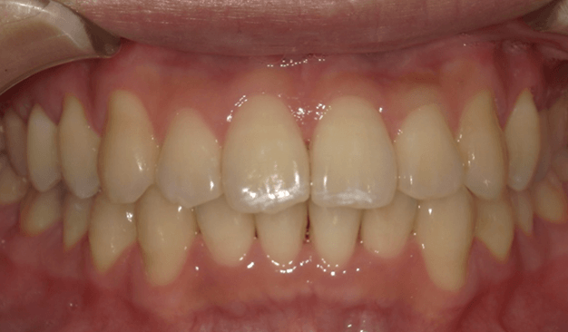
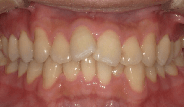
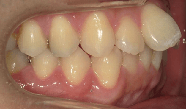
26歳男性 ガタついた歯並び(叢生)と出っ歯(上顎前突)をブラーバ矯正で治療した症例【裏側矯正】

治療前→治療後

Before
裏側矯正ブラーバ矯正|叢生(ガタガタ)の症例(治療前)
After
裏側矯正ブラーバ矯正|叢生(ガタガタ)の症例(治療前)
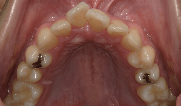
Before
裏側矯正ブラーバ矯正|叢生(ガタガタ)の症例(治療前)
After
裏側矯正ブラーバ矯正|叢生(ガタガタ)の症例(治療後)
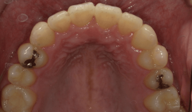
Before
裏側矯正ブラーバ矯正|叢生(ガタガタ)の症例(治療前)
After
裏側矯正ブラーバ矯正|叢生(ガタガタ)の症例(治療後)
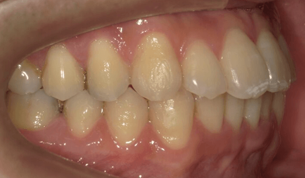
Before
裏側矯正ブラーバ矯正|叢生(ガタガタ)の症例(治療前)
After
裏側矯正ブラーバ矯正|叢生(ガタガタ)の症例(治療前)
Before
裏側矯正ブラーバ矯正|叢生(ガタガタ)の症例(治療前)
After
裏側矯正ブラーバ矯正|叢生(ガタガタ)の症例(治療後)
Before
裏側矯正ブラーバ矯正|叢生(ガタガタ)の症例(治療前)
After
裏側矯正ブラーバ矯正|叢生(ガタガタ)の症例(治療後)

※効果には個人差があります。
※症例全体にかかる注記・主なリスク・症例に関するお問い合わせ先はこちらをご確認ください。
※矯正歯科治療に関するリスク・副作用はこちらをご確認下さい。

症例詳細 【非抜歯・裏側矯正(ブラーバ矯正)】

年齢

26歳

性別

男性

患者様のご要望

上下のガタつきと出っ歯を治したい

主訴

上顎前突(出っ歯)・叢生・口ゴボ

抜歯

なし(非抜歯症例)

治療期間

約10ヶ月

治療方法・装置

裏側矯正装置(ブラーバ矯正システム(Brava))

治療費用

767,800円(税込)

再診料

9回 49,500円(税込)

追加治療

IPR・ATT(費用は全て再診料に含まれる)

※効果には個人差があります。
※IPR・ATTは患者様のご要望や症状により歯科医師の判断によりおこなわれる追加治療です。
【主なリスク】痛み・口内炎・発音しづらい・後戻り

※症例に関するお問い合わせ先はこちらをご確認ください。
※矯正歯科治療に関するリスク・副作用はこちらをご確認下さい。

Clinic

ご希望のエリアをご選択ください

※提携しているコレクトデンタルクリニックでも同様の治療が受けられます

埼玉・神奈川・千葉

北海道・宮城・新潟・石川

愛知・静岡

大阪・京都・兵庫

福岡・熊本