無料初診予約

22歳女性 出っ歯や八重歯をブラーバ矯正で治療した症例【裏側矯正】​

治療前→治療後

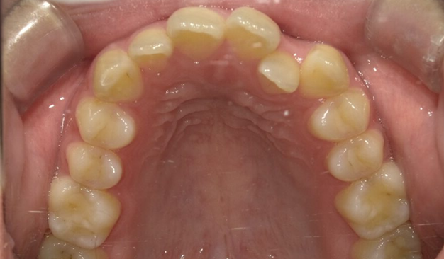
Before
裏側矯正 ブラーバ矯正|出っ歯の症例(治療前)
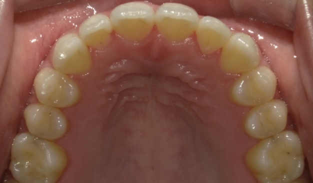
After
裏側矯正 ブラーバ矯正|出っ歯の症例(治療後)
Before
裏側矯正 ブラーバ矯正|出っ歯の症例(治療前)
After
裏側矯正 ブラーバ矯正|出っ歯の症例(治療後)
Before
裏側矯正 ブラーバ矯正|出っ歯の症例(治療前)
After
裏側矯正 ブラーバ矯正|出っ歯の症例(治療後)
Before
裏側矯正 ブラーバ矯正|出っ歯の症例(治療前)
After
裏側矯正 ブラーバ矯正|出っ歯の症例(治療後)

※効果には個人差があります。
※症例全体にかかる注記・主なリスク・症例に関するお問い合わせ先はこちらをご確認ください。
※矯正歯科治療に関するリスク・副作用はこちらをご確認下さい。

症例詳細 【非抜歯・裏側矯正(ブラーバ矯正)】

年齢

22歳

性別

女性

患者様のご要望

上の前歯が少し出ているのと、八重歯、奥歯も気になる

主訴

上顎前突(出っ歯)・叢生・1歯逆被蓋・過蓋咬合

抜歯

なし(非抜歯症例)

治療期間

約9ヶ月

治療方法・装置

裏側矯正装置(ブラーバ矯正システム(Brava))

治療費用

767,800円(税込)

再診料

5回 27,500円(税込)

追加治療

ATT・ボタン・顎間ゴム(費用は全て再診料に含まれる)

※効果には個人差があります。
※ATT・ボタン・顎間ゴムは患者様のご要望や症状により歯科医師の判断によりおこなわれる追加治療です。
【主なリスク】痛み・口内炎・発音しづらい・後戻り

※症例に関するお問い合わせ先はこちらをご確認ください。
※矯正歯科治療に関するリスク・副作用はこちらをご確認下さい。

Clinic

ご希望のエリアをご選択ください

※提携しているコレクトデンタルクリニックでも同様の治療が受けられます

埼玉・神奈川・千葉

北海道・宮城・新潟・石川

愛知・静岡

大阪・京都・兵庫

福岡・熊本